Sai lầm của rất nhiều bố mẹ khi nghĩ răng sữa của con thì không quan trọng, để sâu cũng được, vì đằng nào cũng rụng và thay thế bằng răng vĩnh viễn. Đó là một quan điểm hoàn toàn sai lầm của các bậc cha mẹ. Sâu răng sữa là một vấn đề phổ biến ảnh hưởng đến sức khỏe răng miệng của trẻ nhỏ. Đối với các bậc cha mẹ, việc hiểu rõ nguyên nhân, biểu hiện và cách phòng ngừa sâu răng sữa là rất quan trọng để bảo vệ nụ cười tươi sáng cho con em mình. Dưới đây là một số thông tin cần thiết về sâu răng sữa để giúp các bậc cha mẹ có hướng giải quyết hiệu quả nhất tốt nhất cho trẻ.
1. Nguyên Nhân Sâu Răng Ở Trẻ Là Gì?
- Sau khi ăn, vi khuẩn trong thức ăn còn sót lại trên răng, kết dính với nước bọt tạo thành mảng bám, và phủ lên răng. Khi bé ăn, đặc biệt là những thức ăn từ tinh bột và đường, sẽ kết hợp với mảng bám để tạo ra acid, làm ăn mòn các chất vô cơ của men răng và ngà răng, gây ra sâu răng.
- Nguyên nhân khiến sâu răng ở trẻ cao nhất chính là chế độ ăn uống không lành mạnh, ăn quá nhiều đường như bánh, kẹo, hoa quả ngọt…và thiếu chăm sóc răng đúng cách .
- Ngoài ra, khi răng mới chớm sâu nhưng chủ quan không điều trị sớm, là nguyên nhân khiến tình trạng sâu răng trở nên nghiêm trọng hơn.

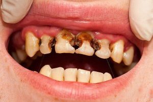
2. Các Biểu Hiện Sâu Răng Ở Trẻ.
Nhận biết sâu răng ở trẻ có thể thông qua các dấu hiệu như sau :
- Răng bé bị ê buốt hoặc đau răng.
- Hơi thở bé có mùi hôi kéo dài.
- Nhìn bằng mắt thường có thể thấy răng bị sâu, đó là có 1 đốm màu trắng ngà hay chấm đen ở trên răng, răng bị nứt hoặc thâm
Nhận biết các dấu hiệu trên thì bố mẹ cũng nên đưa bé đến gặp Bác sĩ nha khoa sớm để được thăm khám và có cách điều trị càng sớm càng tốt.
3. Tác Động Đến Răng Vĩnh Viễn Và Những Tác Hại Kèm Theo.
Mặc dù răng sữa sẽ rụng, Nhưng sâu răng sữa có thể ảnh hưởng đến răng vĩnh viễn nếu không được xử lý kịp thời.
- Sâu răng ở trẻ em gây tổn thương đến tủy răng. Nếu không điều trị tủy răng kịp thời có thể gây viêm tủy và có thể dẫn đến hoại tử tủy, gây áp-xe răng (mủ trong răng).
- Sâu răng ở trẻ em còn là nguyên nhân gây viêm hạch,viêm tủy xương, viêm mô tế bào, viêm xưng hàm.
- Nếu không được điều trị đúng và kịp thời sẽ ảnh hưởng đến quá trình mọc răng vĩnh viễn.
4. Cách Phòng Ngừa Sâu Răng Ở Trẻ
- Chăm sóc răng đúng cách: Hướng dẫn trẻ đánh răng hàng ngày từ khi còn nhỏ để loại bỏ vi khuẩn. Đó là chải răng 2 lần/ngày, mỗi lần ít nhất 2 phút.
- Kiểm tra chế độ ăn uống: Hạn chế thức ăn có đường và đồ uống có gas. Cho bé làm quen và duy trì những loại thực phẩm giàu dinh dưỡng, tốt cho sức khỏe răng miệng như rau củ và trái cây, vì chúng có thể chuyển đổi nước bọt của bé thành chất khoáng, giúp hạn chế tình trạng mảng bám trên răng, phòng ngừa sâu răng ở trẻ em.
- Lựa chọn và sử dụng kem đánh răng phù hợp: Sử dụng loại kem đánh răng có lượng fluoride phù hợp với trẻ.
- Kết hợp sử dụng chỉ nha khoa: Dung chỉ nha khoa để giúp ngăn chặn việc hình thành mảng bám ở các kẽ răng, giúp phòng ngừa sâu răng ở trẻ em..
- Kiểm tra răng miệng định kỳ: Đưa trẻ đến thăm khám nha khoa định kỳ và làm sạch răng.

5. Điều Trị Sâu Răng Ở Trẻ
Nếu phát hiện sâu răng sữa,việc điều trị sớm là quan trọng để ngăn chặn các tác động tiêu cực của việc sâu răng gây nên.
- Khi răng mới chớm sâu thì cha mẹ nên đưa trẻ đi trám răng sớm để tránh tình trạng lây qua các răng khác, đồng thời giúp bảo vệ tủy răng của bé, không bị ê buốt khi ăn uống.
- Chữa sâu răng bằng cách bôi gel fluoride hoặc quét lên răng của bé một lớp thuộc để bịt kín chỗ bị sâu. Với trường hợp sâu răng nặng và cần nạo sạch ngà vụn, nha sĩ sẽ khử trùng, sát khuẩn lỗ sâu và trám chỗ bị sâu, hoặc nhổ răng, thay tủy răng.

Hiểu rõ về sâu răng sữa giúp các bậc cha mẹ đưa ra quyết định thông minh về chăm sóc răng miệng cho con em mình. Tại Nha Khoa Răng Xinh-Hà Tĩnh bạn sẽ được thăm khám với bác sĩ – thạc sĩ Nguyễn Tất Tuấn,bác sĩ đã có hơn 15 năm kinh nghiệm làm việc trong chuyên ngành Răng Hàm Mặt.Bác Tuấn sẽ đưa ra các pháp đồ điều trị phù hợp cho từng trẻ.
[ NHA KHOA RĂNG XINH-HÀ TĨNH ]
𝑁ℎ𝑎 𝐾ℎ𝑜𝑎 𝑅𝑎̆𝑛𝑔 𝑋𝑖𝑛ℎ-𝑉𝑖̀ 𝑠𝑢̛́𝑐 𝑘ℎ𝑜̉𝑒 𝑣𝑎̀ 𝑛𝑢̣ 𝑐𝑢̛𝑜̛̀𝑖 𝑥𝑖𝑛ℎ 𝑐𝑢̉𝑎 𝑏𝑎̣𝑛“
Địa chỉ:








