Niềng răng là giải pháp chỉnh nha phổ biến, giúp khắc phục răng lệch lạc, hô, móm, thưa, mang lại nụ cười tự tin và sức khỏe răng miệng. Bài viết này từ Nha Khoa Răng Xinh sẽ giải đáp chi tiết về niềng răng, lợi ích và các phương pháp hiện đại.
Niềng Răng là gì?
Niềng răng (chỉnh nha) là kỹ thuật sử dụng khí cụ nha khoa để điều chỉnh răng và xương hàm về vị trí chuẩn, cải thiện thẩm mỹ và chức năng ăn nhai. Phương pháp này phù hợp với các vấn đề như răng hô, móm, lệch lạc, sai khớp cắn. Niềng răng cần được thực hiện bởi bác sĩ chỉnh nha chuyên môn cao, đảm bảo kết quả an toàn.
4 phương pháp niềng răng phổ biến
Hiện nay, có nhiều phương pháp niềng răng với ưu, nhược điểm riêng. Dưới đây là các loại phổ biến:
- Mắc cài kim loại: Dùng mắc cài và dây cung hợp kim bền, chi phí thấp, hiệu quả cao, phù hợp ca phức tạp.
- Mắc cài sứ: Tương tự mắc cài kim loại nhưng dùng sứ màu răng tự nhiên, thẩm mỹ hơn.
- Mắc cài mặt trong: Gắn mắc cài bên trong răng, đảm bảo thẩm mỹ, lý tưởng cho người giao tiếp nhiều.
- Niềng răng Invisalign: Dùng khay trong suốt, thẩm mỹ vượt trội, dễ tháo lắp, hiện đại nhất hiện nay.

Niềng răng Invisalign mang lại thẩm mỹ cao và tiện lợi.
9 lợi ích nổi bật của niềng răng
Thời gian niềng răng thường kéo dài 1-3 năm, tùy tình trạng răng. Dưới đây là 9 lợi ích chính:
- Cải thiện thẩm mỹ: Răng đều, khuôn mặt cân đối, nụ cười tự tin.
- Ăn nhai hiệu quả: Khớp cắn chuẩn, thoải mái thưởng thức món ăn yêu thích.
- Dễ vệ sinh răng miệng: Giảm mảng bám, ngừa sâu răng, viêm lợi.
- Không cần răng giả: Đóng khoảng trống mất răng tự nhiên.
- Hỗ trợ trẻ em: Giúp xương hàm phát triển đúng, hạn chế phẫu thuật.
- Cải thiện tiêu hóa: Nghiền thức ăn tốt, giảm áp lực hệ tiêu hóa.
- Thói quen vệ sinh: Răng miệng sạch sẽ, đúng cách.
- Phát âm rõ ràng: Răng đều giúp nói chuyện tự nhiên hơn.
- Tăng tự tin: Nụ cười đẹp, giao tiếp thành công.

Niềng răng giúp bạn sở hữu nụ cười tự tin.
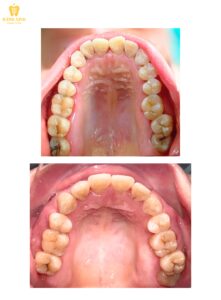
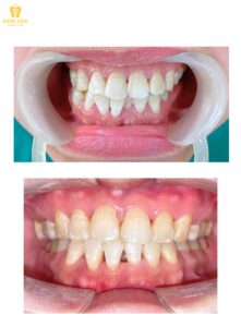
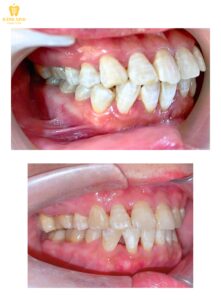
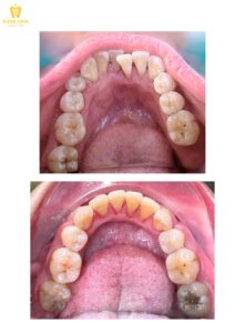
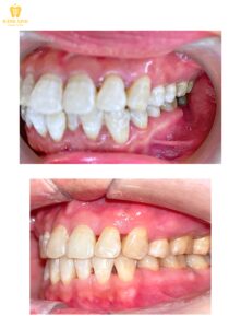
Thay đổi sau khi niềng răng tại Nha Khoa Răng Xinh
Khách hàng tại Nha Khoa Răng Xinh nhận thấy sự thay đổi rõ rệt sau khi niềng răng:
- Ngoại hình: Khuôn mặt hài hòa, cằm thon gọn (V-line ở một số trường hợp), môi cân đối.
- Ăn nhai: Khớp cắn chuẩn, ăn uống dễ dàng, giảm nguy cơ bệnh răng miệng và tiêu hóa.
- Phát âm: Nói rõ ràng, tự tin hơn.
.

Khuôn mặt thon gọn hơn sau niềng tại Nha Khoa Răng Xinh
Tầm quan trọng của bác sĩ chỉnh nha
Bác sĩ chỉnh nha chuyên môn cao (3 – 6% nha sĩ) đảm bảo kết quả an toàn, hiệu quả, đặc biệt với ca phức tạp. Chọn bác sĩ uy tín tại Nha Khoa Răng Xinh là yếu tố then chốt.
[ NHA KHOA RĂNG XINH – HÀ TĨNH ]
𝑁ℎ𝑎 𝐾ℎ𝑜𝑎 𝑅𝑎̆𝑛𝑔 𝑋𝑖𝑛ℎ – 𝑉𝑖̀ 𝑛𝑢̣ 𝑐𝑢̛𝑜̛̀𝑖 𝑥𝑖𝑛ℎ 𝑐𝑢̉𝑎 𝑏𝑎̣𝑛
Địa chỉ:







