Kiến thức nha khoa

Kiến thức nha khoa

Trồng răng Implant tại Hà Tĩnh: Thời gian mất bao lâu, chi phí bao nhêu?

Trồng răng Implant đang dần trở thành lựa chọn tối ưu cho người mất răng tại Hà Tĩnh nhờ tính thẩm mỹ, độ bền cao và khả năng ăn nhai như răng thật. Tuy nhiên,...

Nhổ răng khôn bằng công nghệ mới tại Nha Khoa Răng Xinh.

Răng khôn là nỗi ám ảnh của không ít người bởi những cơn đau nhức âm ỉ, sưng tấy, và nguy cơ biến chứng nếu không được xử lý kịp thời. Tuy nhiên, hiện nay...

Dán sứ Veneer : Giải pháp hiện đại mang lại nụ cười đẹp tự nhiên.

Trong thời đại ngày càng đề cao yếu tố ngoại hình và giao tiếp, sở hữu một nụ cười rạng rỡ, hàm răng đều đẹp, trắng sáng đã trở thành mong muốn chính đáng của...

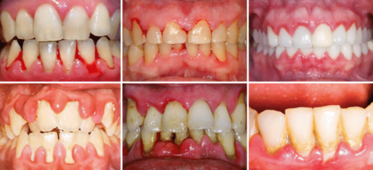
Phân biệt viêm nướu và viêm nha chu. Dấu hiệu nhận biết và cách điều trị hiệu quả.

Các bệnh lý về nướu răng là nguyên nhân hàng đầu gây mất răng ở người trưởng thành. Trong đó, viêm nướu và viêm nha chu là hai tình trạng phổ biến và dễ bị...

Tác hại của việc sử dụng hàm răng giả tháo lắp lâu năm.

Hàm răng giả tháo lắp là một trong những giải pháp phục hình răng phổ biến, đặc biệt ở người cao tuổi. Tuy nhiên, nhiều người có thói quen sử dụng hàm răng giả tháo...

Niềng răng xong nên làm gì để duy trì kết quả lâu dài?

Niềng răng là một hành trình dài đầy kiên trì, đòi hỏi sự kết hợp giữa bác sĩ chỉnh nha và sự hợp tác nghiêm túc từ bệnh nhân. Tuy nhiên, kết thúc quá trình...

Những biểu hiện cảnh báo bệnh lý răng miệng bạn không nên bỏ qua.

Trong cuộc sống bận rộn hiện nay, chúng ta thường có xu hướng xem nhẹ các dấu hiệu bất thường trong khoang miệng và cho rằng đó chỉ là những triệu chứng thoáng qua, không...

Vai trò của từng loại răng trong cung hàm: Hiểu để bảo vệ sức khỏe răng miệng.

Hàm răng của con người ngoài việc đảm nhiệm chức năng ăn nhai thì còn đóng vai trò quan trọng trong phát âm và thẩm mỹ khuôn mặt. Mỗi loại răng trong cung hàm: răng...

Quá trình tiêu xương hàm sau mất răng – Nguy hiểm thầm lặng

Mất răng không chỉ gây ảnh hưởng đến thẩm mỹ hay khả năng ăn nhai mà còn dẫn đến một hậu quả nghiêm trọng nhưng ít người biết đến: tiêu xương hàm. Đây là một...

Niềng răng 2025 – Xu thế làm đẹp tự nhiên của giới trẻ.

Trong những năm gần đây, niềng răng không còn là khái niệm xa lạ đối với giới trẻ. Từ chỗ chỉ dành cho những người có vấn đề nghiêm trọng về răng miệng, giờ đây...

5 Sai lầm khiến bạn dễ bị Viêm Nha Chu

Viêm nha chu là một bệnh lý răng miệng nguy hiểm, tiến triển âm thầm nhưng có thể gây mất răng nếu không được phát hiện và điều trị kịp thời. Điều đáng nói là...

Đốm trắng trên răng- Dấu hiệu sâu răng giai đoạn đầu không nên bỏ qua.

Bạn đã từng nhận thấy những đốm trắng mờ mờ xuất hiện trên bề mặt răng nhưng cho rằng đó chỉ là vết ố thông thường? Thực tế, đây có thể là dấu hiệu đầu...

    ĐĂNG KÝ TƯ VẤN TRỰC TIẾP

    Hoặc gọi 0886.234.688 để được hỗ trợ trực tiếp

    Phone