Viêm nha chu là một bệnh lý răng miệng nguy hiểm, tiến triển âm thầm nhưng có thể gây mất răng nếu không được phát hiện và điều trị kịp thời. Điều đáng nói là phần lớn nguyên nhân gây ra viêm nha chu đều xuất phát từ những sai lầm trong chăm sóc răng miệng hàng ngày. Hãy cùng tìm hiểu 5 sai lầm phổ biến khiến bạn dễ mắc bệnh viêm nha chu trong bài viết dưới đây.
1. Không vệ sinh răng miệng đúng cách
Vệ sinh răng miệng kém là nguyên nhân hàng đầu dẫn đến viêm nha chu. Mảng bám vi khuẩn hình thành trên răng nếu không được làm sạch sẽ nhanh chóng tích tụ, cứng lại thành cao răng. Cao răng chính là môi trường lý tưởng cho vi khuẩn phát triển, gây viêm nướu và tiến triển thành viêm nha chu.
Các biểu hiện dễ nhận biết:
Miệng có mùi hôi kéo dài, nướu đỏ, sưng, dễ chảy máu khi chải răng.Cảm giác răng lung lay nhẹ.
Các lỗi thường gặp khi vệ sinh răng miệng
- Chải răng quá nhanh hoặc không đủ thời gian (nên tối thiểu 2 phút).
- Sử dụng bàn chải có lông quá cứng làm tổn thương nướu.
- Bỏ qua việc chải sạch các mặt trong của răng.
- Không dùng chỉ nha khoa hoặc nước súc miệng hỗ trợ làm sạch kẽ răng.
Giải pháp cho các lỗi thường gặp trên là chải răng ít nhất 2 lần/ngày với kỹ thuật đúng, dùng chỉ nha khoa và súc miệng sát khuẩn mỗi ngày.

2. Chủ quan không đi lấy cao răng định kỳ
Nhiều người nghĩ rằng chỉ cần chải răng kỹ là đủ, nên bỏ qua việc lấy cao răng định kỳ. Tuy nhiên, dù chăm sóc kỹ đến đâu, mảng bám vẫn có thể hình thành ở những vị trí khó làm sạch như khe răng, viền nướu. Qua thời gian, mảng bám vôi hóa thành cao răng, bám chắc trên răng, không thể loại bỏ bằng chải răng thông thường.
Cao răng gây kích thích nướu, tạo điều kiện cho vi khuẩn tấn công tổ chức quanh răng, từ đó dẫn đến:
- Viêm nướu.
- Tụt nướu.
- Tiêu xương ổ răng.

Nên lấy cao răng định kỳ 6 tháng/lần tại nha khoa. Nếu đã có dấu hiệu viêm nướu, cần lấy cao răng và điều trị sớm để ngăn bệnh tiến triển thành viêm nha chu.
3. Hút thuốc lá hoặc thường xuyên dùng chất kích thích
Hút thuốc lá là một trong những yếu tố nguy cơ cao gây ra bệnh lý nha chu. Khói thuốc chứa hàng nghìn hóa chất độc hại có thể:
Làm giảm lưu lượng máu đến nướu răng. Gây ức chế phản ứng miễn dịch tự nhiên của cơ thể. Khiến nướu dễ bị nhiễm trùng nhưng lại khó phát hiện do ít biểu hiện viêm đỏ, sưng tấy.
Ngoài việc hút thuốc lá thì thói quen sử dụng rượu bia, cà phê quá nhiều cũng gây khô miệng, giảm tiết nước bọt đây môi trường tự nhiên giúp bảo vệ răng miệng.

Các tác động tiêu cực khác của hút thuốc lên răng miệng:
- Gây xỉn màu răng.
- Tăng nguy cơ sâu răng.
- Làm chậm quá trình hồi phục sau điều trị nha chu.
Để tránh tình trạng trên nên hạn chế tối đa hoặc tốt nhất là ngưng hút thuốc, tránh sử dụng nhiều chất kích thích để bảo vệ sức khỏe răng miệng và toàn thân.
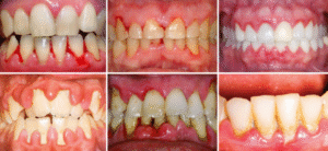
4. Bỏ qua những dấu hiệu bất thường ở nướu
Nhiều người chủ quan nghĩ rằng sưng đỏ, chảy máu nướu chỉ là “chuyện nhỏ” do chải răng mạnh tay hoặc ăn uống không cẩn thận. Tuy nhiên, đây chính là những dấu hiệu cảnh báo sớm của viêm nướu, giai đoạn đầu tiên của viêm nha chu.
Nếu không điều trị sớm, viêm nướu sẽ lan sâu xuống mô nha chu, gây phá hủy xương ổ răng, dẫn đến hình thành túi nha chu làm răng lung lay, di lệch vị trí thậm chí mất răng vĩnh viễn.
Các dấu hiệu cảnh báo cần chú ý:
- Nướu sưng to, đỏ, dễ chảy máu.
- Có mủ ở viền nướu.
- Răng dài ra bất thường (tụt nướu).
- Cảm giác đau nhẹ hoặc ê buốt quanh chân răng.

Ngay khi phát hiện các dấu hiệu bất thường, bạn nên đến nha khoa kiểm tra sớm, tuân thủ phác đồ điều trị của bác sĩ, bao gồm lấy cao răng, điều trị túi nha chu hoặc can thiệp chuyên sâu nếu cần. Không nên tự ý sử dụng thuốc tại nhà.
5. Chế độ ăn uống thiếu khoa học
Chế độ dinh dưỡng kém cũng là yếu tố góp phần thúc đẩy bệnh viêm nha chu phát triển. Các loại thực phẩm ngọt, nhiều tinh bột tinh chế (bánh kẹo, nước ngọt) dễ làm gia tăng mảng bám và vi khuẩn có hại trong khoang miệng.
Bên cạnh đó, thiếu hụt các chất dinh dưỡng cần thiết như vitamin C, vitamin D, canxi cũng làm:
- Suy yếu mô nướu.
- Giảm khả năng chống lại nhiễm trùng.
- Gây tổn thương xương và mô liên kết quanh răng.

Cần hạn chế các thức phẩm như: Đường và các sản phẩm chứa nhiều đường, đồ uống có gas, bia rượu để không gây ảnh hưởng đến men răng cũng như nướu…
Ngoài ra nên tăng cường những thực phẩm giàu dinh dưỡng tốt cho sức khỏe như: Rau xanh (giàu vitamin C và chất chống oxy hóa). Các sản phẩm từ sữa (giàu canxi và vitamin D), thịt nạc, cá (cung cấp protein và kẽm).

Viêm nha chu là bệnh lý nghiêm trọng nhưng hoàn toàn có thể phòng ngừa nếu bạn nhận thức rõ những sai lầm thường gặp và thay đổi thói quen chăm sóc răng miệng hằng ngày. Việc vệ sinh răng miệng đúng cách, lấy cao răng định kỳ, không hút thuốc, chú ý dấu hiệu nướu và ăn uống khoa học sẽ giúp bạn giữ cho nướu và răng luôn khỏe mạnh.
Nha Khoa Răng Xinh là cơ sở phòng khám uy tín về chăm sóc,điều trị răng miệng toàn diện tại Hà Tĩnh. Nếu bạn đang gặp các dấu hiệu bất thường như sưng nướu, chảy máu chân răng, hơi thở có mùi,… Hãy liên hệ với Nha Khoa Răng Xinh để được thăm khám và tư vấn điều trị viêm nha chu kịp thời. Bạn có thể liên hệ với Nha Khoa Răng Xinh qua số điện thoại: 0886234688. Truy cập website: https://nhakhoarangxinh.com.vn/ hoặc fanpage: Nha Khoa Răng Xinh – Hà Tĩnh để biết thêm thông tin chi tiết và đặt lịch hẹn.
[ NHA KHOA RĂNG XINH – HÀ TĨNH ]
𝑁ℎ𝑎 𝐾ℎ𝑜𝑎 𝑅𝑎̆𝑛𝑔 𝑋𝑖𝑛ℎ – 𝑉𝑖̀ 𝑛𝑢̣ 𝑐𝑢̛𝑜̛̀𝑖 𝑥𝑖𝑛ℎ 𝑐𝑢̉𝑎 𝑏𝑎̣𝑛
Địa chỉ:








